Union city Oral surgery & Elizabeth Oral Surgery Group are now Legacy Oral Surgery and Implants
June 11, 2025

The Benefits of Digital X-Rays in Modern Oral Surgery Practices

Dental imaging plays a crucial role in diagnosing and treating oral health conditions. If you’ve visited an oral surgeon recently, you may have noticed that traditional film X-rays have been replaced by digital alternatives. This technological advancement has revolutionized the field of oral surgery, offering numerous benefits for both patients and practitioners. Digital X-rays provide enhanced image quality, allowing oral surgeons to detect issues earlier and plan treatments with greater precision.

At Legacy Oral Surgery and Implants, we understand that keeping up with technological advancements is essential for providing the highest standard of care. Our practice has fully embraced digital X-ray technology as part of our commitment to excellence in oral surgical procedures. We prioritize using the most advanced diagnostic tools available to ensure accurate assessments and optimal treatment outcomes for all our patients in New Jersey.

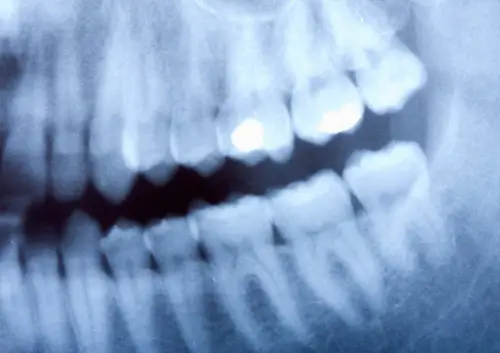
Improved Diagnostic Capabilities

Digital X-rays have dramatically enhanced the diagnostic capabilities of modern oral surgery practices. The technology produces images with significantly higher resolution compared to traditional film X-rays, making it easier to detect even the smallest abnormalities in teeth, bones, and surrounding tissues. This improved clarity allows oral surgeons to identify potential issues such as hidden decay, bone loss, and infections in their earliest stages, often before symptoms become noticeable to patients.

Another significant advantage is the ability to manipulate digital images after they’ve been captured. Oral surgeons can zoom in on specific areas of concern, adjust contrast and brightness, and apply specialized filters to highlight particular structures. These enhancement features are invaluable when examining complex anatomical structures like the temporomandibular joint or when planning intricate surgical procedures such as implant placement. The detailed visualization provided by digital X-rays contributes to more accurate diagnoses and more precise treatment planning.

Digital radiography also enables better communication between dental professionals and specialists. When a patient requires multiple treatments or needs to be referred to another specialist, digital X-rays can be instantly shared electronically. This seamless transfer of information ensures continuity of care and eliminates the need for duplicate X-rays, reducing the patient’s overall radiation exposure. The collaborative potential of digital imagery ultimately leads to more comprehensive treatment approaches and better coordination among the various professionals involved in a patient’s oral health care.

Enhanced Safety and Reduced Radiation Exposure

One of the most compelling benefits of digital X-rays is the significant reduction in radiation exposure. Digital sensors are much more sensitive than traditional film, requiring up to 90% less radiation to produce high-quality images. This dramatic decrease addresses one of the primary concerns patients have about dental radiography and makes the procedure substantially safer, especially for those who require frequent imaging.

Safety improvements extend beyond radiation reduction. The elimination of film processing chemicals used in conventional X-rays creates a more environmentally friendly practice. Traditional film development required potentially harmful chemicals that needed special disposal procedures to prevent environmental contamination. Digital systems completely eliminate these chemicals and their associated risks to staff, patients, and the environment. This shift aligns with modern healthcare’s increasing focus on sustainable and eco-friendly practices.

The digital workflow also reduces the risk of diagnostic errors. With immediate image availability, oral surgeons can instantly verify that they’ve captured the necessary views and that the images are of sufficient quality. If an image is unclear or doesn’t show the required area, another can be taken immediately while the patient is still in position. This real-time quality control minimizes the need for return visits due to inadequate imaging and ensures that treatment decisions are based on complete and accurate information.

Improved Patient Experience and Practice Efficiency

Digital X-rays have transformed the patient experience in oral surgery practices. The immediate availability of images means less time spent waiting for film to develop. Patients can now view their X-rays on a monitor alongside their surgeon, facilitating better understanding of their condition and proposed treatments. This visual aid makes it easier for surgeons to explain complex procedures, helping patients make more informed decisions about their care.

The efficiency gains from digital radiography extend throughout the practice. Digital images can be instantly stored in electronic patient records, eliminating the physical storage space required for film X-rays and making patient information readily accessible from any networked computer in the office. Search capabilities allow staff to quickly locate specific images when needed, saving valuable time during patient consultations. Additionally, digital backup systems provide security against loss or damage that could occur with physical film storage.

Why Choose Legacy Oral Surgery and Implants for Your Digital X-Ray Needs?

At Legacy Oral Surgery and Implants, we’ve invested in state-of-the-art digital X-ray technology as part of our commitment to providing exceptional care. Our team is thoroughly trained in using this advanced equipment to ensure you receive the most accurate diagnoses and treatment plans possible. We understand that dental procedures can cause anxiety for many patients, which is why we emphasize using technologies that make your experience more comfortable, efficient, and effective.

Our practice combines cutting-edge technology with compassionate, patient-centered care. Dr. Nancy Herbst and our entire team are dedicated to ensuring your comfort throughout every step of your treatment journey. From wisdom tooth extractions to dental implants and facial trauma care, our digital imaging capabilities allow us to approach your unique situation with precision and confidence. If you’re looking for advanced oral surgical care in New Jersey, we invite you to experience the difference our technology and expertise can make. To schedule a consultation, please call us at 908-585-4990 or visit our contact form.

VISIT US TODAY

Contact Form

"*" indicates required fields